<論文紹介>非典型腸管病原性大腸菌による食中毒事例と分離菌株の全ゲノム配列解析
はじめに
下痢原性大腸菌は保有する病原因子の種類や病原性発現機構の違いによって、大きく6つのカテゴリー(腸管病原性大腸菌:EPEC、腸管侵入性大腸菌:EIEC、腸管毒素原性大腸菌:ETEC、腸管出血性大腸菌:EHEC、腸管凝集付着性大腸菌:EAEC、分散付着性大腸菌:DAEC)に分類されます[1]。このうち、EPECは主に発展途上国の小児下痢症の原因となる他、しばしば食中毒の原因にもなります。
2022年6月、患者数が170名を超える食中毒事例が近畿地方で発生しました。患者便等からEPECが検出され、本事例はEPECによる食中毒であると断定されました。本記事では、食中毒調査の一環として実施した細菌検査結果の概要と、分離されたEPEC株の全ゲノム配列解析結果を紹介します。なお本記事は、アメリカ微生物学会が発行する学術誌“Applied and Environmental Microbiology”の2025年6月号に掲載された論文[2]の一部要約です。解析結果の詳細については、当該論文をご参照ください。
EPECについて
EPECは「Attaching and effacing(A/E)障害と呼ばれる特徴的な組織障害を引き起こし、かつ、志賀毒素を産生しない下痢原性大腸菌」と定義されています[3]。A/E障害の形成には、エフェクターと呼ばれる分泌タンパク質群やIII型分泌装置など、多くのタンパク質が関与しています。中でも菌体表面に存在するインチミンは、腸管上皮細胞との接着に直接関与するタンパク質であり、A/E障害形成に必須であることから、EPEC同定の際のマーカーとして活用されています。また、EPECは付着線毛(BFP)を有する典型EPEC(typical EPEC, tEPEC)と、BFPを有しない非典型EPEC(atypical EPEC, aEPEC)に細分類されます[3]。tEPEC/aEPECの判別には、BFPの主要な構造タンパク質をコードするbfpAがマーカー遺伝子として利用されています。aEPECによる集団下痢症が複数報告されている一方で、aEPECは無症状の人からも一定数検出されることから、現在までaEPECの下痢原性について統一した見解は得られていません[4]。
食中毒検査結果の概要
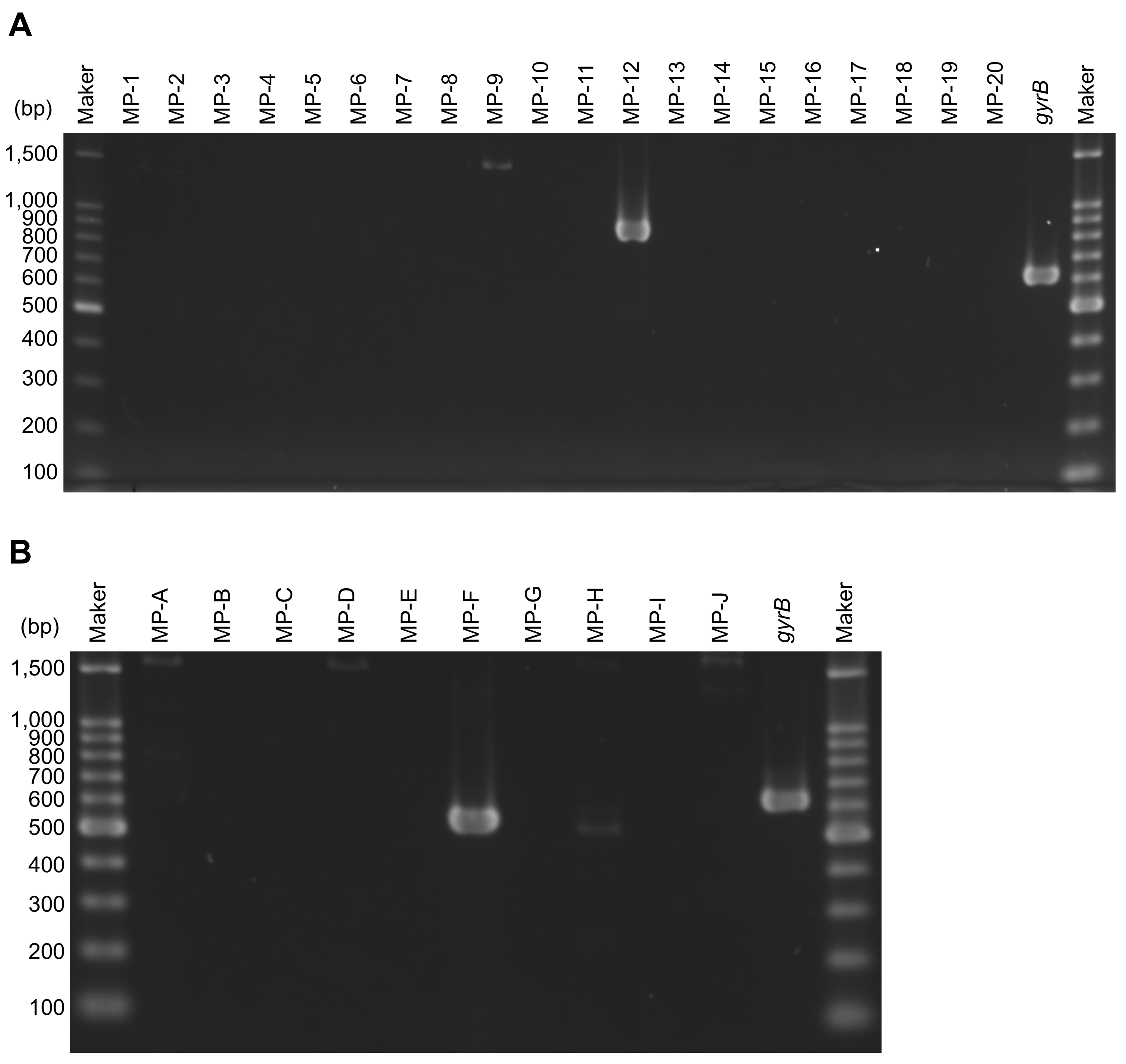
2022年6月に発生した食中毒事例では、患者便44検体、調理施設従業員便10検体、施設拭取り10検体、食品残品6検体について、食中毒病因物質を探索しました。その結果、患者便38検体、従業員便2検体、食品残品1検体、計41検体からEPECが分離されました。デンカ生研製の大腸菌免疫血清を用いて分離菌株の血清型別を試みましたが、分離されたEPECは、キットに含まれる50種類のO抗原並びに22種類のH抗原のいずれにも型別されませんでした。そこで、大腸菌の血清型別PCR法を実施したところ[5]、分離されたEPECはOg45:Hg15(注:OgおよびHgはそれぞれO抗原遺伝子型、H抗原遺伝子型を意味します。)であることが明らかになりました(図)。最終的にSSI Diagnostica製免疫血清を用いた血清型別試験で、本EPECの血清型はO45:H15と決定されました。また、bfpA検出PCRが陰性となったことから、本分離菌株は、aEPEC O45:H15と同定されました。

図:O抗原遺伝子型別PCR(上段A)およびH抗原遺伝子型別PCR(下段B)の結果。O抗原遺伝子型別PCRのMP-12において約900 bpの増幅産物が、H抗原遺伝子型別PCRのMP-Fにおいて約550 bpの増幅産物が認められたことから、血清遺伝子型はOg45:Hg15と判定されました。gyrBはPCRの内因性コントロールとして使用しました。
分離された41株のaEPEC O45:H15について、パルスフィールドゲル電気泳動法(PFGE)を用いて、菌株間の遺伝的相同性を確認しました。41株のPFGEの泳動パターンは90%以上の類似度を示したことから、本事例で分離されたaEPEC O45:H15はすべて同一クローンに由来すると考えられました。さらに、41株中7株を代表株として全ゲノム配列を解読し、その染色体ゲノムを比較したところ、7株はすべて同一のゲノム配列であることが明らかになりました。
これらの結果から、本事例はaEPEC O45:H15による食中毒と結論付けられました。
全ゲノム配列解析結果の概要
aEPECによる食中毒は発生自体がまれであるため、本事例で分離されたaEPEC O45:H15について、完全長ゲノム配列を取得し、保有する遺伝子を網羅的に探索しました。その結果、細胞内侵入性に寄与することが報告されている病原因子espT[6]を保有することが明らかになりました。espTはプラスミド上にコードされていましたが、プラスミド骨格はこれまでに報告されているespT陽性プラスミドの配列とは異なっていました。また、本事例で同定したespT陽性プラスミドは、プラスミド接合伝達に寄与するtraオペロンを保有していました。
血清型O45:H15の大腸菌ゲノムを公共データベースから取得し、今回の事例株とともに系統解析を実施したところ、事例株は2021年に英国で分離されたaEPEC株と最も近縁でした。しかし、2021年に英国で分離されたaEPEC O45:H15はespT陰性でした。さらに、aEPECを中心とする多様な大腸菌ゲノムを用いて系統解析を実施したところ、espTは解析したゲノム全体の4.1%から検出され、複数の系統で散発的に存在していることがわかりました。これらの結果は、espTが水平伝播で拡散し、大腸菌集団に低頻度で分布していること、今回食中毒事例で分離されたaEPEC O45:H15がプラスミド水平伝播によってespTを獲得したことを示唆しています。
espTは、1987年にフィンランドで発生した患者数600名を超えるaEPEC大規模集団感染事例の原因菌株が保有する病原因子として発見されました[6]。しかし、ほとんどのaEPEC集団感染事例ではespTの有無は調査されていません。本事例はespT陽性aEPECによる大規模集団感染例としては世界で2例目の報告であり、espTがaEPECの集団下痢症において重要な役割を果たす可能性を示唆する事例です。
終わりに
本研究では、次世代シーケンサーを用いた全ゲノム配列解析によって、集団食中毒由来のaEPEC O45:H15がespTを保有していることを明らかにしました。全ゲノム配列解析は、標的遺伝子を定めずに網羅的に遺伝子を探索できることから、通常検査対象とされないまれな病原因子や病原微生物の存在を明らかにできる場合があります。次世代シーケンサーは微生物を詳細に解析するツールとして、今後ますますの活用が期待されています。
参考文献
[1] Kaper JB, Nataro JP, Mobley HL. Pathogenic Escherichia coli. Nat Rev Microbiol. 2004;2:123-140.
[2] Saito E, Ogita K, Harada T, Wakabayashi Y, Yagi T, Yamaguchi T, Oshibe T, Oooka T, Kawai T. A foodborne outbreak caused by atypical enteropathogenic Escherichia coli O45:H15 in the Kinki region of Japan. Appl Environ Microbiol. 2025;91(6):e0012325.
[3] Trabulsi LR, Keller R, Gomes TAT. Typical and atypical enteropathogenic Escherichia coli. Emerg Infect Dis. 2002;8(5):508-13.
[4] Hernandes RT, Elias WP, Vieira MAM, Gomes TAT. An overview of atypical enteropathogenic Escherichia coli. FEMS Microbiol Lett. 2009;297:137-149.
[5] 国立感染症研究所, 腸管出血性大腸菌(EHEC)検査診断マニュアル(外部サイトに移動します)2025年9月9日閲覧
[6] Bulgin R, Arbeloa A, Goulding D, Dougan G, Crepin VF, Raymond B, Frankel G. The T3SS effector EspT defines a new category of invasive enteropathogenic E. coli (EPEC) which form intracellular actin pedestals. PLoS Pathog. 2009;5:e1000683.
お問い合わせ
電話番号:06-6972-1368
